Our Smile Gallery

Smile Transformation

Explore real before and after smile improvements. Drag the divider to compare results on desktop, tablet, or phone.

Natural looking results Comfort focused care Modern dentistry

Targeted improvements that refresh the smile while keeping a natural look.

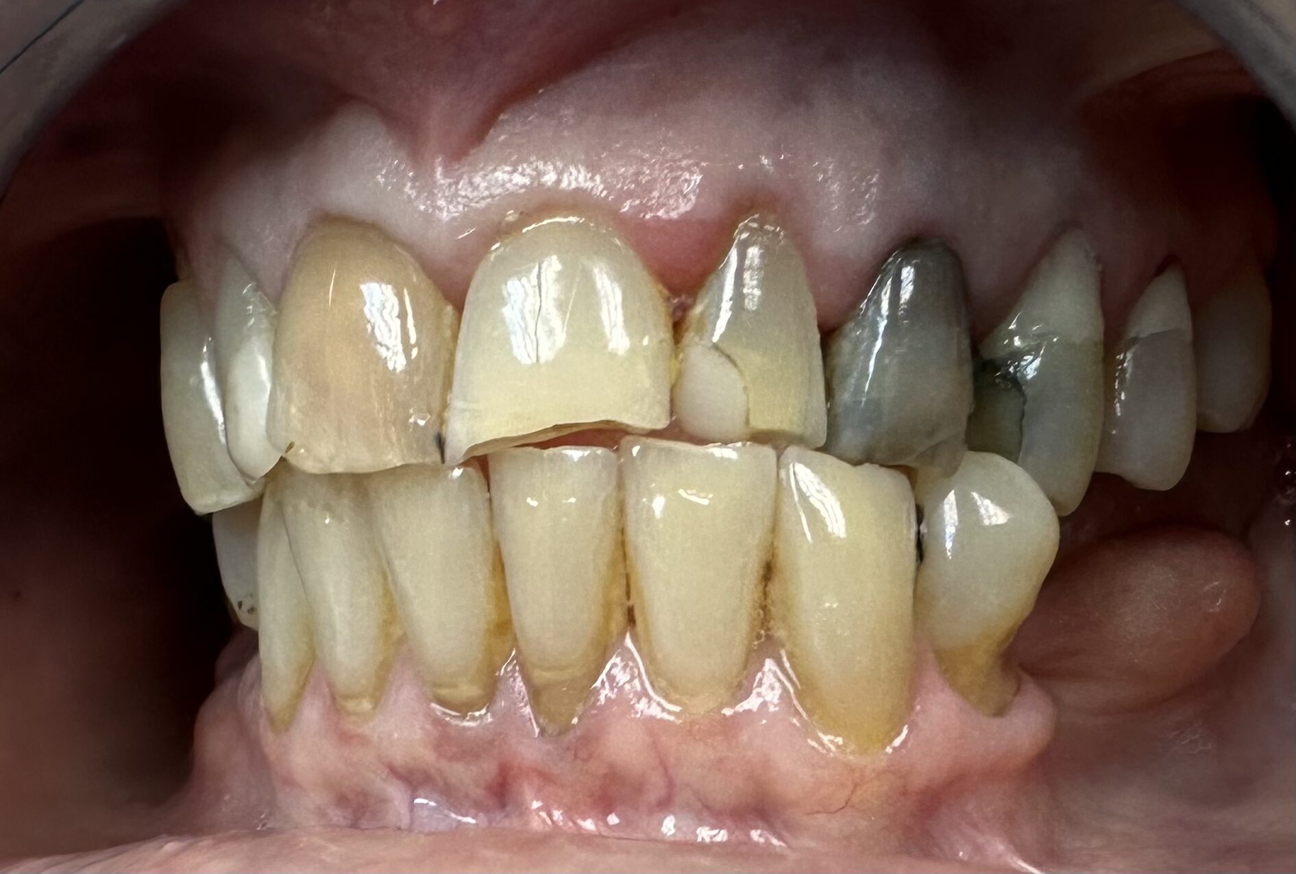
Anterior Upper Crowns
Before
After

This case focuses on improving the visible front teeth using upper crowns. Crowns can restore shape, color, and symmetry so the smile looks cleaner and more balanced.

Fixed Partial Denture Bridge
Before
After

A fixed bridge can replace missing teeth and restore a more complete smile. The goal is to improve function and appearance while matching the natural look of surrounding teeth.

Solutions that replace several teeth and improve comfort, chewing, and smile confidence.

Removable Partial Denture
Before
After

A removable partial denture fills in missing teeth while blending with the natural smile. It can help with chewing and speech and improve overall smile harmony.

Removable Partial Denture
Before
After

This partial denture case focuses on restoring missing areas so the smile appears fuller and more even. The outcome aims for a stable, natural-looking improvement.

Full arch replacement options designed to bring back a complete smile and stronger bite.

Maxillary and Mandibular Complete Dentures
Before
After

Complete dentures for both arches can restore the look of a full smile. This approach is designed to improve chewing, support facial appearance, and enhance day-to-day comfort.

Maxillary and Mandibular Complete Dentures
Before
After

This full denture case highlights how a complete set can bring back a brighter, more confident smile. The focus is a natural tooth appearance and improved bite function.

Advanced full-arch smile rebuilds focused on aesthetics, stability, and long-term function.

Maxillary and Mandibular Complete Dentures
Before
After

This case shows a full denture transformation designed to improve the overall smile line and appearance. The goal is a comfortable fit with a clean, natural-looking result.

Complete Maxillary and Mandibular Dentures
Before
After

A complete upper and lower denture case focused on restoring a natural smile and stronger bite. The end result aims to look bright, even, and well-proportioned.

Comprehensive transformations that rebuild the smile for maximum stability and confidence.

Full Mouth Reconstruction
Before
After

Full mouth reconstruction typically combines multiple treatments to restore function and aesthetics. The focus is improving bite, symmetry, and overall smile health.

Maxillary Complete Denture over Mandibular Overdenture
Before
After

This case combines a complete upper denture with a lower overdenture for added stability and support. The goal is a confident smile with improved comfort and function.

Ready to improve your smile

Call Diamond Dental Arts to schedule an evaluation and explore the best option for your goals.