Dental Pain

Expert Care for Dental Pain in Punta Gorda FL

Tooth pain can make it hard to eat, sleep, and focus. At Diamond Dental Arts, we take dental pain seriously because it often signals an underlying issue that should be evaluated as soon as possible. Our goal is to help you understand what may be happening, reduce discomfort, and guide you toward long term relief.

Call or text: (941) 637-0101

How to calm tooth pain quickly

Stopping tooth pain fast can be difficult because pain usually means something deeper is going on, such as a cavity that has reached the inner tooth, irritation of the nerve, a crack, or an infection. Home care can help reduce discomfort, but it does not remove the cause.

Over the counter medications such as Tylenol and Ibuprofen may help reduce inflammation and pain for many patients. Use medications only as directed on the label and avoid them if you have a medical reason that makes them unsafe. Cold compresses on the outside of the face may also help with swelling and soreness. The most important step is scheduling an exam to identify the reason for the pain.

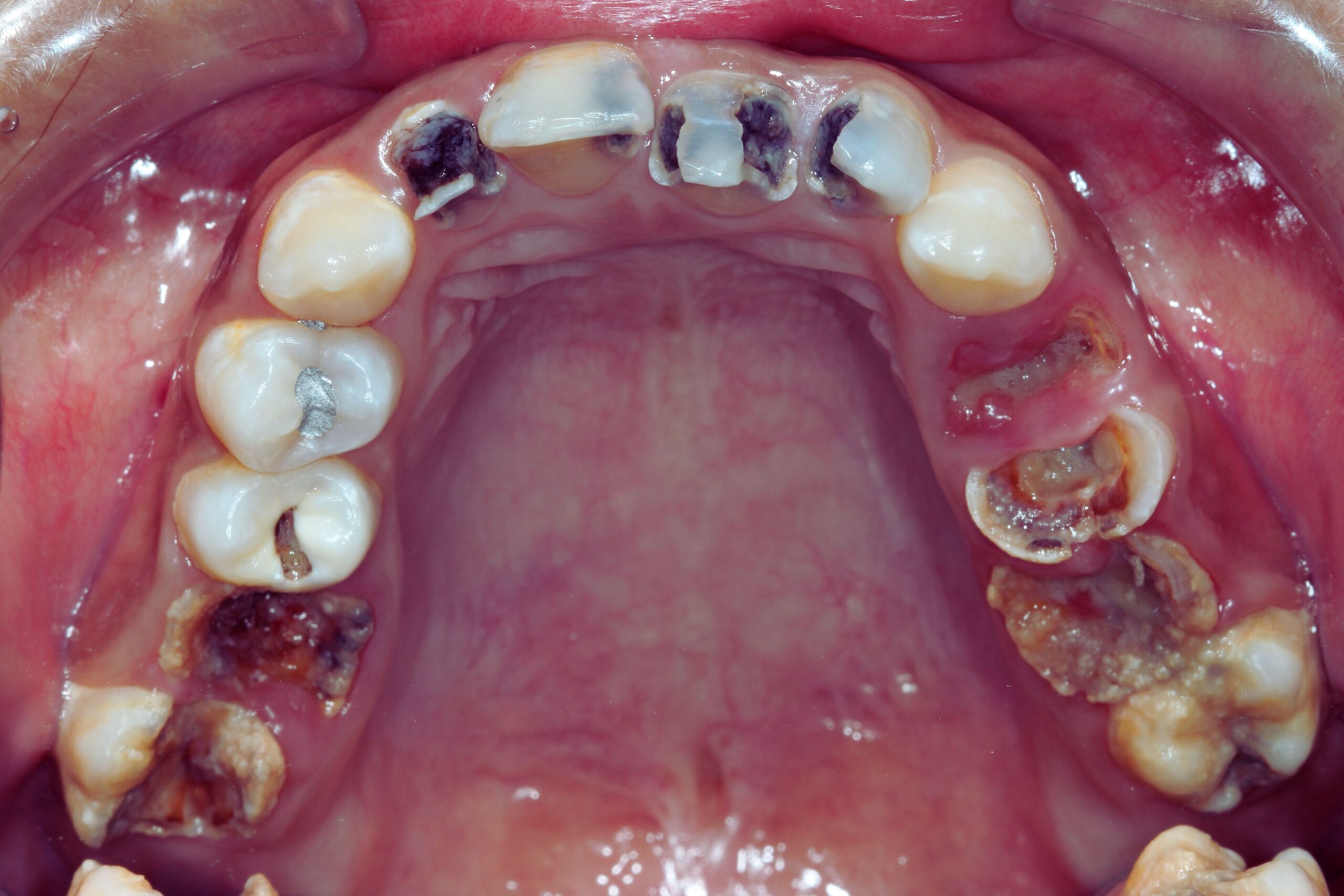
Dental pain evaluation at Diamond Dental Arts

Common dental causes of tooth pain

Tooth pain can come from multiple sources. Some of the most common dental reasons include deep cavities, an inflamed or affected nerve, a tooth fracture, a broken filling or crown, bite problems, or infection around a tooth. In some cases, pain may feel like it is coming from one tooth even when the source is a nearby tooth.

A dental exam helps identify the true cause. We evaluate your symptoms, examine the tooth and surrounding tissue, and use diagnostic imaging when needed to confirm what is happening under the surface.

How a dentist finds the source of pain

Finding the root of tooth pain requires more than looking at the surface. We review your history, perform a focused clinical exam, and check the bite and gums. Imaging helps detect decay between teeth, changes around the roots, and other concerns that cannot be seen directly. Once the cause is identified, we explain options clearly so you can choose the next step with confidence.

Diagnostic dental imaging and exam

Treatment options for lasting relief

The best treatment depends on what is causing the pain. If the problem is a cavity, treatment may involve a filling or a crown depending on size and tooth strength. If the nerve is involved, root canal therapy may be recommended to remove infection and preserve the tooth. If a tooth cannot be saved, extraction may be necessary.

When infection is present, antibiotics may be recommended as part of care, but antibiotics alone do not fix the source. Treating the tooth is what removes the infection and stops it from returning. If an extraction is needed, we discuss replacement options to help prevent shifting and bite problems later.

Pain after a dental procedure

It can be normal to feel temporary sensitivity after some dental treatments. Drilling for a cavity, placing anesthesia, or working close to the nerve may cause short term soreness. A new crown or a deep cleaning can also create tenderness for a brief period.

Another common reason for discomfort after treatment is a bite that sits slightly high. When that happens, chewing pressure can cause pain, and a simple bite adjustment can usually resolve it quickly. If pain increases, lasts longer than expected, or feels sharp when biting, a follow up exam is important.

Comfort focused dental care and follow up support

Pain near implants, bridges, or gums

Pain near a dental implant, bridge, or gum tissue can have different causes. Sometimes it is gum irritation from bacteria or inflammation around the area. In other cases, the discomfort may actually come from a nearby tooth rather than the implant or bridge itself. An exam helps identify whether the source is the gums, the restoration, or an adjacent tooth.

Once we locate the cause, treatment may include targeted cleaning, improving home care technique, adjusting the bite, or addressing a tooth that is creating referred pain. The key is getting an accurate diagnosis rather than guessing.

Can you help me find a permanent solution

Yes. Dental pain usually has a dental cause that can be treated. Our goal is to move from short term relief to a plan that resolves the problem. That might include a filling, a crown, root canal therapy, treatment of gum infection, or in some cases removal of a tooth that cannot be saved.

If a tooth does need to be removed, replacement planning matters. Replacing a missing tooth helps protect your bite, prevent shifting, and support long term function. We guide you through options based on your specific situation.

How soon can I be seen

Tooth pain can feel urgent, and we understand that. We do our best to see urgent cases the same day or the next day depending on availability. The fastest way to get started is to call or text our office so we can help you schedule the soonest available time.

Questions or need an appointment, call (941) 637-0101

Office Closed for the Holidays

from December 24th to January 1st

 For urgent dental care during this time, please call our emergency line at 727-605-0761.

We look forward to seeing you when we resume normal hours on January 2nd.