Family Dentistry
We’re honored to care for your family’s dental health. With exams, cleanings, and routine checkups, we help protect oral wellness at every age.
Includes a comprehensive dental evaluation, periodontal
exam, and full set of digital x-rays.
Claim your voucher today before this offer expires!
Experience elevated dental care with our New Patient Wellness Package. Your first visit includes a comprehensive dental evaluation, a detailed periodontal assessment, and a full set of digital X-rays to give you a clear understanding of your oral health.
Available for a limited time. Schedule your visit today.
For more than three decades, Diamond Dental Arts has provided families in Punta Gorda with compassionate, high-tech dental solutions. Our experts, Dr. Gretel Perez and Dr. Daniel Marquez, specialize in a wide range of treatments, from preventative hygiene and cosmetic enhancements to advanced restorative procedures, all delivered within a welcoming, modern clinical setting. We prioritize your convenience by offering flexible scheduling and adaptable payment plans that fit your budget. To ensure every patient feels at home, our bilingual team provides stress-free care in both English and Spanish.
At Diamond Dental Arts, we reserve same day appointments during office hours to help relieve pain, reduce the chance of complications, and get you treated as soon as possible.
Common dental emergencies we treat
If you have facial swelling with fever or trouble breathing, seek immediate medical care.
We’re honored to care for your family’s dental health. With exams, cleanings, and routine checkups, we help protect oral wellness at every age.
Even with daily brushing and flossing, stains and cosmetic concerns can still happen. We offer customized options to enhance brightness, alignment, and overall appearance.
From crowns and bridges to implants and dentures, we restore function and comfort. Our doctors create a plan to rebuild confidence in your smile.
Gum health can be affected by home care, genetics, smoking, and certain medications. We evaluate gum and bone levels and provide the right cleaning and treatment approach.
We use modern root canal techniques and local anesthesia to keep you comfortable. This can relieve pain and help preserve your natural tooth.
We offer urgent dental care with priority scheduling. Same day visits are available when possible for pain, broken teeth, extractions, bleeding, and more.
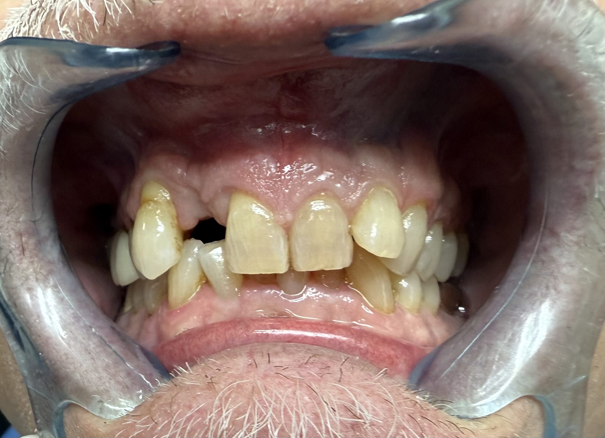
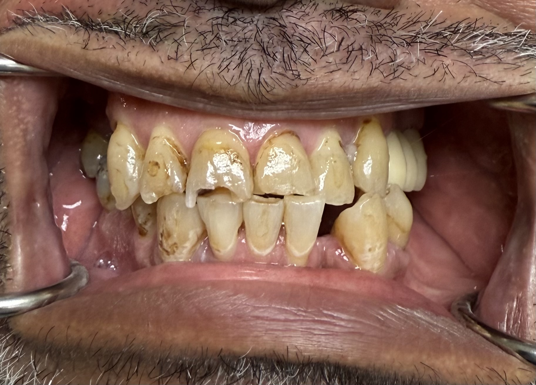
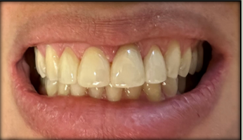
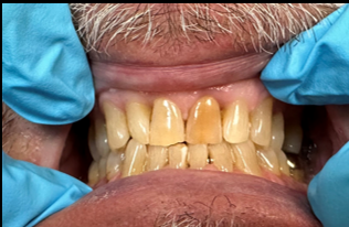
A collection of real patient smile transformations focused on comfort, function, and natural aesthetics.
Posted on cheryl hetheringtonTrustindex verifies that the original source of the review is Google. Ivette was fabulous. Professional, courteous and gentle. Ty Ivette!Posted on David MonroeTrustindex verifies that the original source of the review is Google. Ivette does a wonderful job she is a fantastic hygienist. Very caring and thorough.Posted on Lisette RodriguezTrustindex verifies that the original source of the review is Google. Excelente personal, muy amable y profesionalPosted on Dayami rodriguez britoTrustindex verifies that the original source of the review is Google. Diamond resultó una experiencia agradable pues tanto los doctores como el team técnico me atendieron con mucha paciencia a pesar del nerviosismo con que llegué. Fueron amables explicándome el procedimiento y dándome confianza. Han reunido lo soñado, servicio de calidad a buen precio y un trato de primera. Recomiendo esta clínica para cualquiera de los tratamientos odontológicosPosted on RussellTrustindex verifies that the original source of the review is Google. Great people and caring staff. The best dental practice i have ever been to.Posted on Francisco MonagasTrustindex verifies that the original source of the review is Google. Es un lugar muy agradable donde obtuve un servicio de primera. Son excelentes profesionales en los que prevalece la calidad por encima de todo. Su relación costo - calidad fue magnica conmigo. Recomiendo sus servicios 100%Posted on Chanelle DTrustindex verifies that the original source of the review is Google. This dental office is one of the best, everyone is super sweet and welcoming. They do great work and always make me feel comfortable! If you’re in need of a dental office and haven’t had good experience come here!Posted on Zoe Marlene Rodriguez MonteagudoTrustindex verifies that the original source of the review is Google. El mejor servicio dental que he recibido por la doctora Gretter,Posted on Roberto Pérez López de CastroTrustindex verifies that the original source of the review is Google. I came in to Diamond Dental Arts for my first visit as a new patient and I was honestly very nervous, I have been avoiding the dentist for quite a while now. I have to say that Dr. Perez and hygienist Ivette were magnificent, best dental cleaning I ever had, they explained everything clearly and never made me feel judged or rushed. Even the front desk staff was very friendly and helpful specially Jose and Isama, I arrived a little early for my appointment and they managed to let me in before my appointment time. The office was spotless, modern and welcoming. I’d highly recommend this office to anyone in Punta Forda area who’s anxious about dental visits or looking for a long-term dentist.
A complete starting visit for new patients. Includes a full oral exam, digital X-rays, a gum health screening, and a one on one consultation to review what we see and what we recommend next.
Start with a no cost consultation focused on your comfort and goals. We review your smile, discuss what is possible, and explain a clear path to restoring function and confidence. Note: Treatment costs vary; we provide a personalized estimate during your visit.
Ideal for patients exploring implants, dentures, veneers, or whitening. We listen to what you want to change, review your options, and outline a plan that fits your goals and budget.
Find out if clear aligners are right for you. We evaluate spacing and bite, answer your questions, and explain what results you can expect and how long treatment may take.
Ready to get started? Call or text us today to confirm availability and reserve your visit. Limited openings may apply, and all specials are based on a clinical evaluation to ensure the best care for you.
Diamond Savings Club © Annual Membership
Diamond Dental Arts Punta Gorda Florida discount membership plan. Gold plan $499 and Diamond plan $649. Includes 10% discount on basic and major services.
GOLD Plan
Annual Membership
Gold
$499
Total Savings: $229
Includes 10% off Basic & Major Services
What’s Included
DIAMOND Plan
Annual Membership
Diamond
$649
Total Savings: $394
Includes 10% off Basic & Major Services
What’s Included
Membership fee may vary based on selected plan. Please note that this in-office discount plan is designed for patients without existing dental insurance coverage, and certain limitations may apply. Patients are advised to consult with our office staff for comprehensive details regarding coverage, limitations, and eligibility criteria. Terms and conditions of the discount plan are subject to change without prior notice. This plan is not a form of dental insurance and does not guarantee payment for any dental services rendered. THE PATIENT AND ANY OTHER PERSON RESPONSIBLE FOR PAYMENT HAS A RIGHT TO REFUSE TO PAY, CANCEL PAYMENT, OR BE REIMBURSED FOR PAYMENT FOR ANY OTHER SERVICE, EXAMINATION, OR TREATMENT THAT IS PERFORMED AS A RESULT OF AND WITHIN 72 HOURS OF RESPONDING TO THE ADVERTISEMENT FOR THE FREE, DISCOUNTED FEE, OR REDUCED FEE SERVICE, EXAMINATION, OR TREATMENT. Participation in the discount plan does not constitute a contract for any specific duration of time, and patients reserve the right to discontinue their enrollment at any time. Our dental office assumes no liability for any services not covered under the discount plan or any services provided by third-party providers. By enrolling in this discount plan, patients acknowledge and agree to abide by all terms and conditions outlined herein. Furthermore, please be aware that if a patient cancels their membership before the end of its term, no refunds will be issued. Fee may vary with complexity of case. Diamond Dental Arts complies with applicable Federal civil rights laws and does not discriminate on the basis of race, color, national origin, age, disability, or sex. © 2026 Diamond Dental Arts. All rights reserved.
Quality dental care should fit your life and your budget. At Diamond Dental Arts, we offer flexible monthly payment options for all treatments so you can move forward without stress.
We also work with most insurance companies and submit claims on your behalf so you can receive reimbursement based on your benefits.
Affordable care clear options support every step of the way.
Ready to get started
Call today to learn how easy it can be to begin your treatment with a payment plan that fits comfortably within your monthly budget.
Call Us (941) 637-0101Our team will explain your options clearly and help you choose what works best.
Dedicated professionals providing personalized, high-quality dental care in a welcoming environment.
Dr. Gretel Perez Lopez is originally from Cuba and grew up in a family of dentists, including her mother, a respected Prosthodontist who inspired her early passion for dentistry. She graduated from the Higher Institute of Medical Sciences in 2008 and completed advanced training in Prosthodontics. She later earned her dental degree with honors from Rutgers School of Dental Medicine. Dr. Perez Lopez is an active member of the American Dental Association and the Florida Dental Association and provides bilingual care in English and Spanish.
Dr. Daniel Marquez was born and raised in Havana, Cuba and pursued dentistry with dedication and purpose. He graduated from Havana Dental School in 2012 and received a fellowship from the Oral Surgery and Pharmacology Department for outstanding academic performance. After relocating to the United States, he graduated from Rutgers School of Dental Medicine in 2020. Dr. Marquez has completed more than 300 hours of advanced continuing education in implant dentistry and holds active fellowships with the International Congress of Oral Implantologists and the American Academy of Implant Dentistry.
If you are new to Diamond Dental Arts, your first visit is designed to feel clear, comfortable, and genuinely helpful. You will receive a complete evaluation and a thorough review of your oral health so you know exactly where you stand and what options make the most sense for you.
What you can expect as a new patient
Why patients choose Diamond Dental Arts
For decades, families in Punta Gorda have trusted our team for advanced care delivered with a calm, respectful approach. Dr. Gretel Perez and Dr. Daniel Marquez provide a wide range of services, from preventive visits to cosmetic and restorative dentistry, in a modern environment where you never feel rushed. Our bilingual team supports patients in English and Spanish so you always feel understood.
Flexible options, no pressure
We help make treatment easier to start by offering flexible monthly payment options through trusted providers. We also work with most insurance companies and submit claims on your behalf so you can receive reimbursement based on your benefits.
Limited time new patient opportunity
Call or text today to reserve your new patient visit and get started with premium care from a team that puts your comfort first. Availability can be limited.
Call or Text Us Today (941) 637-0101We will confirm availability, answer your questions, and help you take the next step with confidence.